Tư vấn miễn phí (24/7) 1900.636.099
Hoạt Động Nha Khoa Thu Trang Tin tức
Bạn đang chịu đựng những đơn đau răng âm ỉ? Bạn ngại cười vì hàm...
Kiến Thức Răng Miệng Tin tức
Bạn đang bị những cơn đau răng hành hạ đến mức “phát điên”? Cảm giác...
Kim đồng hồ đã điểm 2 giờ sáng nhưng bạn vẫn đang ôm mặt, trằn...
Tẩy Trắng Răng
Một nụ cười trắng sáng rạng rõ luôn là điểm cộng hoàn hảo trong giao...
Tin tức
Nấm lưỡi (hay còn gọi là bệnh tưa miệng) là một tình trạng nhiễm trùng...
Một số cách sau đây có thể giúp bạn phòng và ngăn hôi miệng: –...
Răng nanh nằm ở vị trí khá đặc biệt cũng như giữ vai trò quan...
Nhổ răng cửa là thao tác đơn giản nhằm loại bỏ răng cửa ra khỏi...
Trong mùa dịch Covid- 19 đang diễn biến phức tạp như hiện nay, mỗi cá...
Đứng trước thời điểm bệnh dịch phức tạp. Chính phủ đã cách ly toàn bộ...
Bọc răng toàn sứ Cercon HT được xem là một trong những giải pháp phục...
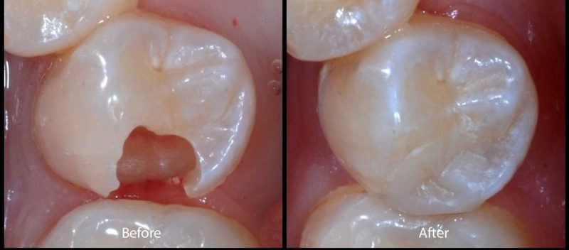
Hàn răng sâu ở trẻ em là phương pháp dùng chất trám bít lên các...
Có một bệnh nhân đã gửi tới Nha Khoa Thu Trang một câu hỏi như...
Tên tài khoản hoặc địa chỉ email *
Mật khẩu *
Ghi nhớ mật khẩu Đăng nhập
Quên mật khẩu?