Tư vấn miễn phí (24/7) 1900.636.099
Kiến Thức Răng Miệng Tin tức
Bạn đang bị những cơn đau răng hành hạ đến mức “phát điên”? Cảm giác...
Kim đồng hồ đã điểm 2 giờ sáng nhưng bạn vẫn đang ôm mặt, trằn...
Tẩy Trắng Răng
Một nụ cười trắng sáng rạng rõ luôn là điểm cộng hoàn hảo trong giao...
Tin tức
Nấm lưỡi (hay còn gọi là bệnh tưa miệng) là một tình trạng nhiễm trùng...
Việc đột nhiên phát hiện lưỡi chuyển sang màu đen khi soi gương có thể...
Trong thời gian gần đây có nhiều quảng cáo nói về công dụng của kem...
Để có thể quan sát rõ vị trí, cấu trúc cũng như hướng mọc của...
Đau răng là một vấn đề cực kỳ khó chịu và cũng là dấu hiệu...
Niềng răng ở đâu là câu hỏi tiên quyết đối với những ai đang có...
Chữa tủy răng là công đoạn điều trị được áp dụng cho những trường hợp...
Sâu răng là bệnh lý phổ biến trên răng thật và kể cả răng giả....
Nha khoa Thu Trang được thành lập năm 2008 bởi Bs. Đàm Văn Soạn –...
Đánh răng mỗi ngày để ngăn cản việc thức ăn sau khi ăn kết hợp...
2 Comments
Hiện nay vẫn còn không ít phụ huynh còn quan niệm rằng răng sữa là...
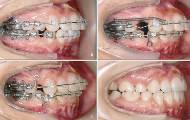
Niềng răng là phương pháp chỉnh nha được nhiều người ưa chuộng nhất hiện nay....
Tên tài khoản hoặc địa chỉ email *
Mật khẩu *
Ghi nhớ mật khẩu Đăng nhập
Quên mật khẩu?