Tư vấn miễn phí (24/7) 1900.636.099
Kiến Thức Răng Miệng Tin tức
Kim đồng hồ đã điểm 2 giờ sáng nhưng bạn vẫn đang ôm mặt, trằn...
Tẩy Trắng Răng
Một nụ cười trắng sáng rạng rõ luôn là điểm cộng hoàn hảo trong giao...
Tin tức
Nấm lưỡi (hay còn gọi là bệnh tưa miệng) là một tình trạng nhiễm trùng...
Việc đột nhiên phát hiện lưỡi chuyển sang màu đen khi soi gương có thể...
Một nụ cười trắng sáng luôn là “vũ khí” giúp bạn tự tin trong giao...
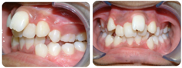
Răng mọc đè lên nhau là hiện tượng phổ biến, đây là một hiện tượng...
1 Comment
Đồ ăn nhanh hay tên gọi khác là “fast food” xuất phát từ nước ngoài...
Sức khỏe răng miệng là vấn đề cần đặc biệt quan tâm, vì không chỉ...
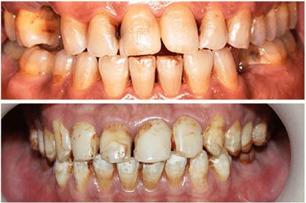
Hầu hết mọi người đều nghĩ rằng rượu bia chỉ gây hại cho sức khỏe...
Thuốc lá có hại cho sức khỏe là điều ai cũng biết. Ngoài ra, thuốc...
2 Comments
Nước giải khát rất được ưa thích bởi hương vị, mẫu mã, màu sắc đa...
Ở bài viết trước, chúng tôi đã đề cập đến những tác hại do thói...
Mút tay là thói quen phổ biến ở trẻ, Vì vậy, nhiều người không để...
Phòng khám nha khoa Thu Trang sẽ gửi đến các bố mẹ những dấu hiệu...
Việc chăm sóc răng miệng cho trẻ là rất quan trọng vì ảnh hưởng rất...
Tên tài khoản hoặc địa chỉ email *
Mật khẩu *
Ghi nhớ mật khẩu Đăng nhập
Quên mật khẩu?