Thuốc lá có hại cho sức khỏe là điều ai cũng biết. Ngoài ra, thuốc lá còn gây nguy hại cho cả sức khỏe răng miệng. Nhưng mức độ gây hại của thuốc lá thì không phải ai cũng nắm rõ. Đừng lo lắng, phòng khám nha khoa Thu Trang sẽ cung cấp thông tin cho bạn qua bài viết này.
SÂU ĐÂY LÀ TÁC HẠI CỦA THUỐC LÁ
1.Lí do thuốc lá gây hại cho sức khỏe răng miệng:
– Theo một nghiên cứu cho biết, nguy cơ mắc các bệnh răng miệng ở những người hút thuốc mỗi ngày từ 10 điếu trở lên sẽ cao gấp 3 lần so với những người không hút thuốc. Những người nghiện thuốc lá nặng thì nguy cơ mắc các bệnh ung thư trong khoang miệng cao gấp 4 lần so với người bình thường. Nếu người hút thuốc nghiện rượu thì nguy cơ này sẽ gấp 15 lần.

– Các chất độc có trong thuốc lá như Nicotin, carbon Monoxyd và Acid cyanhydrid là nguyên nhân gây hại cho tổ chức nha chu và Implant nha khoa. Các chất này phá hoại hệ miễn dịch trong khoang miệng, tạo nên những lỗ sâu trong lợi, từ đó tấn công xương quai hàm.
XEM THÊM: Tác hại khôn lường của nước ngọt có gas đối với răng miệng
2. Tác hại gây ra cho sức khỏe răng miệng của thuốc lá:
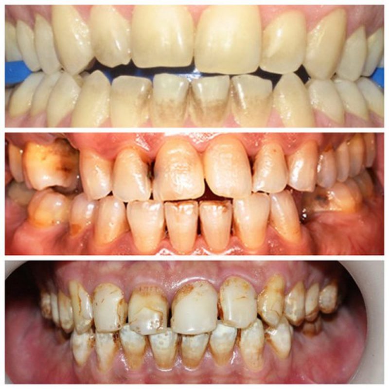
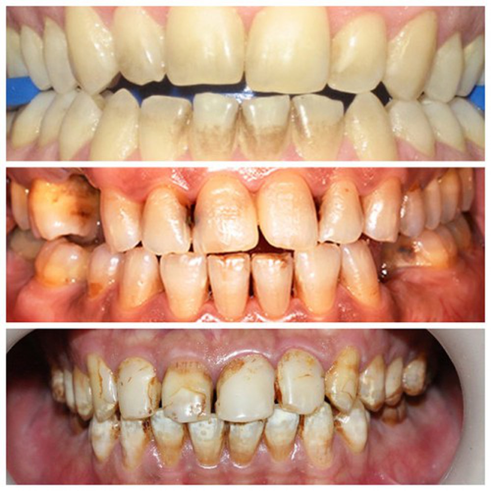
- Răng ố vàng.
- Tốc độ phục hồi sau khi nhổ răng chậm.
- Gây nên các bệnh về nướu răng, vốn là nguyên nhân chủ yếu gây rụng răng.
- Ung thư miệng.

Hút thuố lá khiến răng ố vàng, thậm chí gây ra ung thư miệng - Hơi thở nặng mùi.
- Viêm tuyến nước bọt vòm miệng.
- Làm gia tăng các mảng bám và cao răng.
- Gây khó khăn cho các thao tác cấy ghép nha khoa.
Để cai thuốc lá hiệu quả, các bác sĩ và nha sĩ có thể áp dụng những biện pháp trị liệu nhằm giúp làm dịu cơn thèm thuốc của người bệnh. Bệnh nhân có thể sử dụng kẹo cao su hoặc miếng dán cai thuốc lá có bán trên thị trường. Hiệu quả của việc cai thuốc còn tùy thuộc vào ý thức của người hút thuốc lá.

Nếu bạn còn thắc mắc gì về vấn đề răng miệng, hãy đến với chúng tôi để được tư vấn miễn phí giúp giải đáp mọi thắc mắc. Phòng khám có đội ngũ bác sĩ chuyên khoa giỏi với nhiều năm kinh nghiệm. Đặc biệt, còn được trang bị hệ thống trang thiết bị hiện đại và áp dụng công nghệ tiên tiến trong khám chữa bệnh. Phòng khám nha khoa Thu Trang là một phòng khám uy tín tại Chương Mỹ đem lại sự hài lòng cho mọi khách hàng.


Pingback: Tác hại của rượu bia đối với răng miệng - Phòng Khám Nha Khoa Thu Trang
Pingback: Nguyên nhân chủ yếu khiến bạn dễ bị bệnh về răng miệng - Phòng Khám Nha Khoa Thu Trang