Răng thưa không chỉ gây mất tự tin và còn gây ra tâm lí không thoải mái, khó khăn trong việc ăn uống và chăm sóc răng miệng. Thậm chí, răng thưa còn là nguyên nhân gây ra các bệnh lí nguy hiểm về răng miệng. Trong bài viết này, phòng khám nha khoa Thu Trang sẽ nêu lên ưu, nhược điểm của các phương pháp khắc phục răng thưa.
1.Trám răng thẩm mỹ:

– Đây là phương pháp phổ biến, được nhiều khách hàng lựa chọn bởi chi phí thấp, quy trình đơn giản và tiết kiệm được thời gian thực hiện. Tuy nhiên, phương pháp này chỉ phù hợp với những tình trạng răng thưa nhẹ.
– Ưu điểm:
- Quy trình đơn giản
- Thời gian nhanh
- Đảm bảo tính thẩm mỹ
- An toàn và không xâm lấn răng
- Chi phí thấp
– Nhược điểm:
- Độ bền không cao dễ bị bong trong quá trình sử dụng.
- Nếu khe hở càng lớn thì khả năng bong càng cao
2.Phương pháp niềng răng:

-Phương pháp này được đại đa số khách hàng sử dụng. Không chỉ bảo tồn tối đa răng thật mà kỹ thuật niềng răng hiện đại còn kết hợp điều chỉnh răng vad cung hàm, sắp xếp lại răng đều đặn và đưa khuôn mặt về đúng tỉ lệ, cân đối, thanh tú hơn.
– Ưu điểm:
- An toàn, đạt hiệu quả cao
- Không phải mài răng, chỉ cần đeo mắc cài
– Nhược điểm:
- Thời gian điều trị dài
- Gây ê nhức trong thời gian đầu và khó khăn trong sinh hoạt
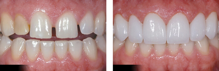
3.Bọc răng sứ:

– Đâylà phương pháp khắc phục hoàn hảo những khiếm khuyết có trên răng, không chỉ răng thưa, khấp khểnh…mà mão răng sứ còn giúp bảo vệ chân răng trong các trường hợp răng nhiễm bệnh lý, điển hình như sâu răng, răng sau điều trị tủy.
– Ưu điểm:
- Đảm bảo tính thẩm mỹ như răng thật
- Độ bền lâu
- Khả năng ăn nhai như răng thật
- Thời gian thực hiện nhanh chóng
– Nhược điểm:
- Phải mài cùi răng
- Nếu bác sĩ thực hiện sai kĩ thuật sẽ gây đến chết tủy.
XEM THÊM: Phương pháp khắc phục tình trạng gãy răng cửa
4.Mặt dán sứ Veneer:

– Mặt dán sứ veneer có ưu điểm mổi bật là không cần mài răng, mặt dán sứ được thiết kế mỏng, linh hoạt theo dấu hàm của mỗi khách hàng, giúp che đi toàn bộ khuyết điểm có trên răng và bảo tồn răng thật tối ưu.
– Ưu điểm:
- Tính thẩm mỹ cao
- Đảm bảo chức năng ăn nhai như răng thật
- Không phải mài răng, thời gian thực hiện nhanh chóng.
– Nhược điểm:
- Kĩ thuật phức tạp đòi hỏi tay nghề cao, sử dụng công nghệ hiện đại, chi phí cao hơn so với các loại răng sứ thông thường.
Nếu bạn có nhu cầu khắc phục tình trạng răng thưa, hãy đến với phòng khám nha khoa Thu Trang để được thăm khám để biết được tình trạng răng của mình, từ đó có cách điều trị sao cho phù hợp, đạt kết quả cao nhất.

Pingback: Hậu quả của việc bọc răng sứ giá rẻ - Phòng Khám Nha Khoa Thu Trang