Tư vấn miễn phí (24/7) 1900.636.099
Hoạt Động Nha Khoa Thu Trang Tin tức
Bạn đang chịu đựng những đơn đau răng âm ỉ? Bạn ngại cười vì hàm...
Kiến Thức Răng Miệng Tin tức
Bạn đang bị những cơn đau răng hành hạ đến mức “phát điên”? Cảm giác...
Kim đồng hồ đã điểm 2 giờ sáng nhưng bạn vẫn đang ôm mặt, trằn...
Tẩy Trắng Răng
Một nụ cười trắng sáng rạng rõ luôn là điểm cộng hoàn hảo trong giao...
Tin tức
Nấm lưỡi (hay còn gọi là bệnh tưa miệng) là một tình trạng nhiễm trùng...
Lợi trùm là bệnh lý thường gặp ở mọi đối tượng, đặc biệt là ở...
Dính thắng lưỡi lầ một dị tật khá phổ biến ở lứa tuổi trẻ em,...
1 Comment
Có rất nhiều bệnh lý về sức khỏe răng miệng, tuy nhiên hiện nay có...
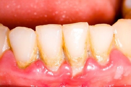
Chào bác sĩ, răng e có rất nhiều cao răng nhưng nhiều người khuyên em...
Bác sĩ ơi, bé nhà mình được 6 tháng dạo này cháu có các triệu...
Hôi miệng là vấn đề mà rât nhiều người mắc phải, gây không ít phiền...
Chị T gửi tin nhắn đến phòng khám:”Thưa bác sĩ, tôi có nhu cầu bọc...
Tiêu xương răng xảy ra sau khi mất răng, là tình trạng vùng xương chân...
Người ta thường nói “bệnh từ miệng mà ra”, hàm răng cũng bị ảnh hưởng...
Tên tài khoản hoặc địa chỉ email *
Mật khẩu *
Ghi nhớ mật khẩu Đăng nhập
Quên mật khẩu?