Có khá nhiều dạng sai lệch khớp cắn ảnh hưởng trực tiếp đến thẩm mỹ cũng như sức khỏe răng miệng của mỗi chúng ta. Trong đó, tình trạng khớp cắn hở là tình trạng khá phở biến, tình trạng này không chỉ ảnh hưởng đến sự sắp xếp các răng, ăn nhai khó khăn và còn là một trong những nguyên nhân dẫn đến tình trạng rối loạn khớp thái dương hàm. Vậy khớp cắn hở là gì? Nguyên nhân nào dẫn đến tình trạng này và Cách khắc phục dứt điểm tình trạng khớp cắn hở là gì? Hãy cùng Nha Khoa Thu Trang tìm hiểu kĩ hơn về vấn đề này qua bài viết dưới đây nhé!
Làm sao để khắc phục tình trạng khớp cắn hở
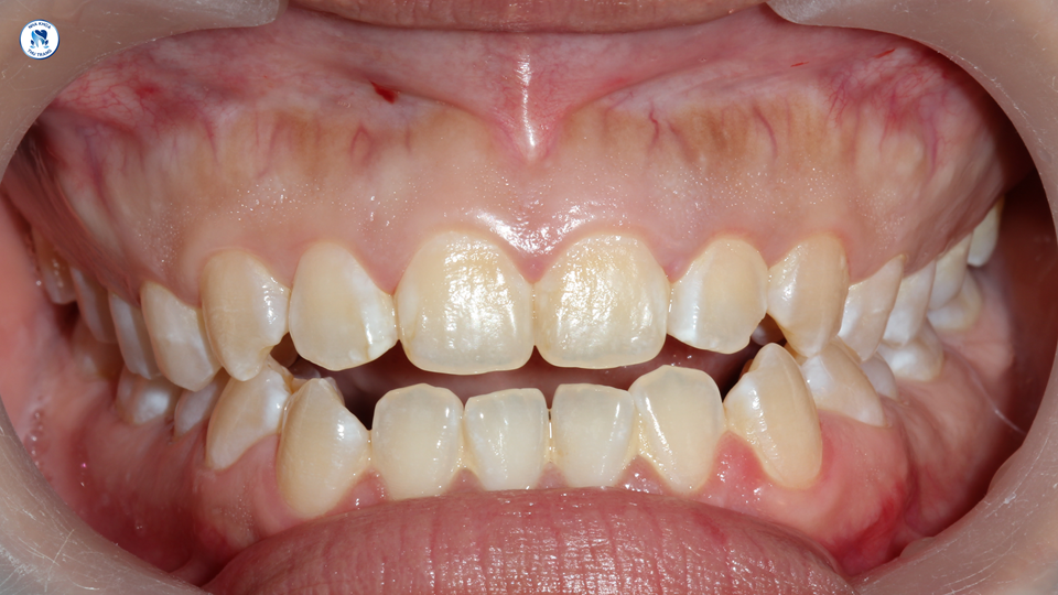
Khớp cắn hở là gì?
Khớp cắn hở là là một dạng đặc biệt thuộc nhóm sai lệch khớp cắn, loại khớp này gây ra những ảnh hưởng tiêu cực đến tính thẩm mỹ và đặc biệt là chức năng của hàm răng.
Ở hàm răng chuẩn khớp cắn, hàm trên bao phủ lấy hàm dưới một mức độ vừa phải và hai hàm răng vừa vặn cắn khít với nhau. Nhưng với khớp cắn hở thì sẽ có nhóm răng cửa hoặc răng hàm không tiếp xúc với nhau khi khép miệng bình thường.
Có 2 loại khớp cắn hở như sau:
-Thứ nhất: Cắn hở do răng: Trường hợp này xảy ra do kết quả của quá trình mọc răng, các răng mọc lệch lạc không đúng vị trí dẫn đến khớp cắn hở.
-Thứ hai: Cắn hở do xương: Sự phát triển bất thường của xương hàm có thể là nguyên nhân gây sai khớp cắn, tình trạng hầu hết gặp phải do yếu tố di truyền.

Dấu hiệu nhận biết tình trạng khớp cắn hở
Khớp cắn hở có nhiều đặc điểm rõ ràng, khác biệt so với các dạng sai khớp cắn khác cũng như một khớp cắn tiêu chuẩn. Khi quan sát và theo dõi khớp cắn có thể nhận thấy răng cắn hở thông qua những đặc điểm sau đây:
- Khi đóng miệng ở trạng thái nghỉ, nhóm răng hai hàm không thể chạm nhau và có những khoảng hở ở phía trước.
- Cung răng hàm trên thường có dạng chữ V nếu răng cắn hở phía trước.
- Nếu răng cắn hở gây vẩu thì đường nối trán – mũi – cằm thường bị gấp khúc, tương quan khuôn mặt kém hài hòa.
- Người bị khớp cắn hở thường gặp trở ngại về giọng nói, phát âm không tròn vành, rõ chữ.
Tác hại của tình trạng khớp cắn hở
Nhìn chung, bất kỳ một dạng sai khớp cắn nào đều gây ảnh hưởng không tốt đến con người. Theo các chuyên gia đánh giá thì khớp cắn hở sẽ gây ra những tác hại bao gồm:
Nụ cười kém thẩm mỹ
Mặc dù các trường hợp răng cắn hở thông thường không ảnh hưởng đến sự hài hòa khuôn mặt nhưng khi cười nói sẽ gây mất điểm nghiêm trọng. Hàm răng bị hở làm lộ phần lưỡi khiến nụ cười kém duyên, không ít người vì vậy mà trở nên tự ti, ngại giao tiếp với mọi người xung quanh.
Suy giảm chức năng ăn nhai
Nếu hai hàm răng không thể chạm nhau ở vị trí răng cửa thì việc cắn xé thức ăn sẽ trở nên khó khăn hơn rất nhiều. Trường hợp hở nhóm răng hàm thì chức năng ăn nhai bị suy giảm nghiêm trọng vì đây chính là nhóm răng nhai chính của cung hàm.
Về lâu dài sẽ ảnh hưởng đến khả năng hấp thụ dinh dưỡng của cơ thể. Thức ăn dạng thô chưa được nhai kỹ đã đi xuống dạ dày làm tăng nguy cơ mắc các bệnh lý liên quan đến tiêu hóa và dạ dày.
Rồi loạn khớp thái dương hàm
Các nhóm răng hai hàm hoạt động ăn nhai không ổn định tạo áp lực lên một số vị trí nhất định trên cung hàm, lâu dài sẽ làm “quá tải” gây hại cho hàm răng. Đồng thời quá trình ăn nhai khó khăn cũng sẽ tác động xấu đến khớp thái dương hàm, gây loạn năng khớp thái dương hàm.
Tiềm ẩn nhiều bệnh lý nguy hiểm
Cùng với các bệnh lý răng miệng là nhiều nguy cơ khác đối với sức khỏe toàn thân khi bị khớp cắn hở. Răng cắn hở có thể gây ra một số bệnh lý liên quan đến đường hô hấp và xương hàm nên tuyệt đối không được chủ quan.
Nguyên nhân gây ra tình trạng khớp cắn hở
Khớp cắn hở có thể xảy ra do yếu tố di truyền từ các thế hệ ông bà, cha mẹ. Tình trạng này không thể tránh được và chủ yếu là dạng sai khớp cắn do xương nên cần thực hiện phẫu thuật chỉnh hình để cải thiện khớp cắn hở.
Các trường hợp khác, khớp cắn hở hình thành do thói quen xấu hàng ngày. Đặc biệt thường gặp ở giai đoạn trẻ em còn nhỏ tuổi với các thói quen mút tay, cắn bút, đẩy lưỡi, ngậm ti giả,… Trường hợp này thì dễ khắc phục hơn bằng cách cải thiện thói quen xấu từ sớm, xây dựng thói quen tốt cho răng miệng. Một số trường hợp khớp cắn hở đã hình thành thì thực hiện chỉnh nha để khắc phục.
Các giai đoạn của khớp cắn hở
Để điều trị khớp cắn hở cần dựa trên mức độ bệnh lý và nguyên nhân hình thành. Khi thăm khám, bác sĩ sẽ đánh giá tình trạng này và đưa ra kế hoạch điều trị phù hợp cho từng người, từng giai đoạn.
Điều trị ở giai đoạn cắn hở bắt đầu hình thành
Nếu người bệnh đang ở giai đoạn đầu hình thành khớp cắn hở thì bác sĩ sẽ phân tích nguyên nhân hình thành.
Nếu xuất phát từ các thói quen hàng ngày như đã kể ở trên thì cần có hướng cải thiện, thay đổi thói quen xấu. Bác sĩ sẽ chỉ định sử dụng các khí cụ chuyên dụng như máng duy trì cùng những chỉ dẫn quan trọng khác để giúp bé dừng những thói quen xấu này.
Với các nguyên nhân do xương hàm trên trên bị hẹp hoặc lõm, phương án điều trị lúc này là đeo hàm nới rộng cung hàm. Từ đó giúp đưa cung hàm ra và đóng khít được các khoảng hở giữa hai hàm.
Điều chỉnh khớp cắn hở khi đã hành hình
Khi đã hình thành khớp cắn hở thì cần điều chỉnh khớp cắn về dạng cân đối, các nhóm răng hai hàm đều đặn và khớp cắn tiêu chuẩn. Tùy vào từng trường hợp cụ thể mà bác sĩ sẽ tư vấn 1 trong 3 phương pháp điều trị: niềng răng, làm răng sứ hoặc phẫu thuật hàm.
Niềng răng khớp cắn hở:
Niềng răng sử dụng các khí cụ mắc cài, dây cung, máng trong suốt để nắn chỉnh răng và khớp cắn. Mục tiêu niềng răng cắn hở là làm lún răng cối, làm trồi răng cửa hai hàm, nới rộng cung răng hàm trên.
Lực siết trên khí cụ chỉnh nha có khả năng cắn chỉnh răng cắn hở, dịch chuyển răng về vị trí đều đẹp. Nhờ vậy mà hai hàm sẽ trở nên cân xứng với nhau, tiếp xúc đúng vị trí và khuôn mặt hài hòa mà không gây bất kỳ tác động xấu nào đến cấu trúc răng thật.
Làm răng sứ phục hình:
Đây là kỹ thuật phục hình nhanh chóng, khắc phục khớp cắn hở chỉ trong vòng 3-5 ngày. Tuy nhiên, làm răng sứ chỉ có thể thực hiện cho các trường hợp răng sai lệch mức độ nhẹ, và sẽ phải tác động tới men răng của người bệnh nên cần cân nhắc trước khi làm.
Phẫu thuật điều chỉnh xương hàm:
Phẫu thuật chỉnh hình cho các trường hợp khớp cắn hở do xương hàm hay do các yếu tố bẩm sinh, di truyền. Một số trường hợp có thể phải kết hợp phẫu thuật và niềng răng để đạt khớp cắn lý tưởng nhất, điều trị triệt để khớp cắn hở.
Niềng răng khớp cắn hở mất bao lâu để đạt hiệu quả?
Niềng răng là phương pháp phổ biến nhất, được ưu tiên thực hiện để điều trị sai khớp cắn hay tình trạng khớp cắn hở. Trừ trường hợp khớp cắn hở do xương thì hầu hết niềng răng đều có thể can thiệp và mang lại hiệu quả cao.
Hiện nay có 4 phương pháp niềng răng bao gồm:
– Niềng răng mắc cài kim loại
– Niềng răng mắc cài tự đóng/tự buộc
– Niềng răng mắc cài sứ
– Niềng răng không mắc cài (niềng máng trong suốt)
Với mỗi kỹ thuật niềng răng khác nhau thì thời gian điều trị khớp cắn hở cũng có sự chênh lệch. Thông thường một ca niềng răng sẽ cần từ 1-2 năm để hoàn tất, nếu răng lệch lạc nặng thì có thể mất tới 3 năm.
Theo các chuyên gia đánh giá thì niềng răng không mắc cài có khả năng đẩy nhanh tiến độ niềng răng. Thời gian niềng răng trong suốt sẽ nhanh hơn mắc cài tối thiểu từ 4-6 tháng, cùng với đó là nhiều ưu điểm vượt trội khác về thẩm mỹ, tính thuận tiện và hiệu quả điều trị.
NHA KHOA THU TRANG
Địa chỉ:
Cơ sở 1: Trường Yên – Chương Mỹ – Hà Nội
Cơ sở 2: Thạch Thán – Quốc Oai – Hà Nội
Cơ sở 3: Ngã 4 Ninh Kiều – Chúc Sơn – Chương Mỹ – Hà Nội
Email: nhakhoathutrang080808@gmail.com
Hotline: 1900 9448 – 0972 753 591
Kết nối với fanpage: https://www.facebook.com/nhakhoathutrang123
