Men răng, một yếu tố quan trọng để duy trì sức khỏe răng miệng, có thể trở nên yếu và dẫn đến tình trạng răng nhạy cảm bị ê buốt…. Điều này khiến nhiều người cảm thấy lo lắng và băn khoăn về cách giải quyết tình trạng men răng yếu. Trong bài viết này, chúng tôi sẽ chia sẻ những phương pháp hiệu quả để khắc phục men răng yếu. Hãy cùng tham khảo nhé!
Men răng yếu: Dấu hiệu nhận biết và các phương pháp phục hồi HIỆU QUẢ
I. Men răng là gì?
Men răng là lớp ngoài cùng, phủ bên ngoài răng, chứa hàm lượng chất khoáng cao và là thành phần cứng nhất trong cơ thể chúng ta. Men răng có thể màu trắng xám, vàng nhạt hoặc hơi xanh ở viền răng.

Men răng được ví như “chiếc áo” bảo vệ răng, giúp ngà răng và tủy răng không bị ảnh hưởng bởi vi khuẩn, nhiệt độ hay ngoại lực. Men răng rất khó bị vỡ bể, tuy nhiên, nó lại dễ bị bào mòn trong môi trường axit. Và khi đã bị bào mòn thì khó phục hồi và không tái tạo lại được.
Một điều thú vị khác về men răng chính là bị ảnh hưởng bởi yếu tố di truyền. Ba mẹ có men răng khỏe thì sẽ di truyền sang con, tức là men răng của con cũng sẽ khỏe. Ngoài ra, độ dày của men răng không đều trên thân răng, dày nhất ở phần đầu răng và mỏng nhất ở phần cổ răng.
II. Tình trạng men răng yếu do đâu?
Biết được men răng là gì, vậy thì nguyên nhân khiến khiến men răng yếu là do đâu?
2.1. Do các yếu tố bên trong cơ thể
Nguyên nhân hàng đầu khiến men răng bị yếu là do tuyến nước bọt hoạt động kém, miệng luôn trong tình trạng khô. Các axit của thực phẩm tồn đọng trên men răng không được dung hòa. Ngoài ra, các bệnh lý về răng miệng như viêm nha chu, sâu răng,… cũng khiến men răng bị suy yếu dần.
Trong một số trường hợp, tình trạng men răng yếu còn xuất phát từ các bệnh lý về tiêu hóa hay di truyền. Theo đó, những người bị trào ngược axit dạ dày thực quản, thiếu canxi, thiếu dinh dưỡng, tan máu bẩm sinh,… sẽ có men răng yếu hơn bình thường.
2.2. Do thói quen sinh hoạt hàng ngày
Có thể bạn có men răng khỏe bẩm sinh, tuy nhiên, trong sinh hoạt hàng ngày, nếu duy trì những thói quen xấu như nghiến răng, vệ sinh răng miệng kém, đánh răng sai cách,… thì cũng sẽ khiến men răng bị bào mòn và suy yếu.
Đặc biệt, chế độ ăn uống không khoa học, thường xuyên tiêu thụ thức ăn nhiều đường, carbohydrate và axit hay nhai cắn vật cứng cũng là nguyên nhân làm lớp men bảo vệ răng bị suy yếu và gia tăng nguy cơ sâu răng, mất răng.
Ngoài ra, việc sử dụng thuốc Aspirin, Histamin, thuốc Flour,… trong thời gian dài cũng có thể là nguyên nhân làm suy yếu men răng. Cùng với đó, việc điều trị nha khoa ở các cơ sở kém chất lượng cũng tiềm ẩn nhiều nguy cơ với lớp men răng này.
III. Dấu hiệu nhận biết tình trạng men răng yếu
Không khó để nhận biết men răng yếu thông qua các dấu hiệu điển hình sau.

- Xuất hiện các đốm màu trắng trên răng, có thể là do vi khuẩn gây ra, cũng có thể là do cơ thể dư thừa fluor. Những đốm trắng này nếu không điều trị sẽ gây viêm mô nướu và sâu răng.
- Men răng bị bào mòn nên ngà răng sẽ lộ ra, do đó, bạn sẽ thấy những vệt màu vàng trên răng. Cùng với đó là bề mặt răng nhám sần, không sáng bóng, rất mất thẩm mỹ.
- Răng thường xuyên bị ê buốt, nhất là khi ăn thực phẩm nóng hoặc lạnh. Nguyên nhân là do lớp men bảo vệ răng có thể đã bị tổn thương và bào mòn khiến ngà răng bị kích ứng khi tiếp xúc với thức ăn, nhiệt độ.
- Khi nhai, lớp men răng bị bong ra từng miếng, mảng nhỏ. Tình trạng này thường hay xảy ra khi bạn ăn thức ăn giòn cứng.
- Những cơn đau răng hay ê buốt răng có thể xuất hiện bất chợt vào ban đêm, gây khó chịu và dẫn đến mất ngủ.
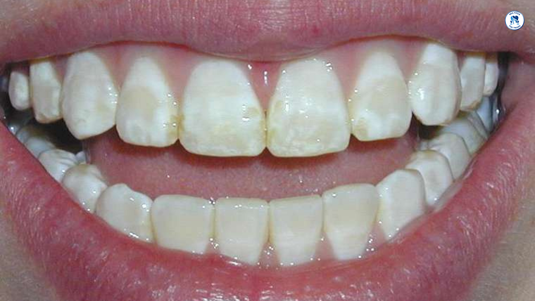
IV. Hình ảnh men răng yếu cần phục hồi
Dưới đây là những hình ảnh men răng yếu, cần được điều trị kịp thời để phòng tránh biến chứng.
Men răng yếu, xuất hiện các đốm màu trắng sữa và vệt vàng trên bề mặt răng
Bề mặt men răng nhám sần, không bóng và trong như bình thường
Men răng mòn và yếu ở phần đầu răng
Men răng mòn và yếu ở mặt trong răng
Hình ảnh men răng yếu ở trẻ em, dễ gây mất răng sữa sớm
V. Phương pháp phục hồi men răng yếu
Để phục hồi men răng yếu, bạn có thể thực hiện theo các hướng dẫn sau.
- Áp dụng các phương pháp điều trị bổ sung fluor như uống nước có fluor, sử dụng kem đánh răng và nước súc miệng chứa hàm lượng fluor cao theo chỉ định của nha sĩ.
- Đánh răng ít nhất 2 lần/ ngày, mỗi lần 2 phút, đặt bàn chải lông mềm nghiêng 45 độ rồi chải nhanh và dứt khoát từ trên xuống. Sau đó dùng nước súc miệng để làm sạch khoang miệng.
- Tránh các thực phẩm như bánh kẹo, nước ngọt,… thay vào đó là tăng cường bổ sung rau xanh, trái cây, sữa và thực phẩm giàu đạm để bù đắp khoáng chất cho cơ thể, giúp men răng được khỏe mạnh hơn.
VI. Cách phòng ngừa tình trạng men răng yếu
Cách phòng ngừa men răng yếu đơn giản nhất là duy trì thói quen sinh hoạt lành mạnh và chế độ ăn uống khoa học, cụ thể như sau.
- Hạn chế ăn thức ăn ngọt, nhiều đường, các loại trái cây chứa nhiều axit, các loại thức uống có ga.
- Uống nhiều nước mỗi ngày và nhai kẹo cao su (loại không đường) để gia tăng sản xuất nước bọt, phòng chống khô miệng.
- Không dùng răng để cắn vật cứng, sắc nhọn để tránh làm men răng bong, vỡ.
- Không sử dụng kem đánh răng, nước súc miệng chứa cồn.
- Điều trị dứt điểm các bệnh lý về tiêu hóa, răng miệng.
- Khám răng định kỳ mỗi 6 tháng/ lần và lấy cao răng định kỳ 2 lần/năm.
Trên đây là những chia sẻ giúp bạn biết cách phục hồi và phòng ngừa tình trạng men răng yếu. Nếu có nhu cầu thăm khám, điều trị hoặc thực hiện niềng răng chỉnh nha răng sứ thẩm mỹ…., đừng quên liên hệ đến Nha khoa Thu Trang để được tư vấn và hỗ trợ đặt lịch nhanh chóng.
