Áp xe răng là một túi mủ hay một tập hợp mủ hình thành và phát triển ở bên trong nướu hoặc ở gần dưới chân răng hay ở bên trong xương răng. Bệnh lý này phần lớn xuất phát từ sự lây nhiễm vi khuẩn từ môi trường bên ngoài theo một số con đường như sâu răng, hở nướu,….Trong bài viết này, phòng khám nha khoa Thu Trang Trường Yên Chương Mỹ sẽ cung cấp thông tin cho các bạn về các loại áp xe răng thường gặp.
Những loại áp xe thường gặp
1. Áp xe chân răng:
Áp xe chân răng hiểu một cách đơn giản là túi áp xe răng sẽ phát triển và hình thành bên trong răng của bệnh nhân, nằm gần khu vực cuối chân răng.

Nguyên nhân dẫn tới tình trạng áp xe chân răng thông thường do người bệnh bị sâu răng đã ảnh hưởng tới tủy nhưng không điều trị kịp thời. Điều này khiến sâu răng đi sâu tới cuối chân ống tủy và bắt đầu hình thành túi mủ tại đó. Dạng này trong nha khoa được gọi là áp xe quanh chân răng có ổ.
Một kiểu nhẹ hơn của tình trạng áp xe này là tuy đã vào sâu bên trong tủy nhưng lại không hình thành túi mủ do bị cô lập hoặc mới chỉ phát triển nhẹ được gọi là áp xe quanh chân răng không có ổ. Tuy nhiên nếu kéo dài cũng sẽ dẫn tới các tác hại giống như áp xe răng thông thường.
XEM THÊM: Nguyên nhân sâu răng ở trẻ em và cách điều trị
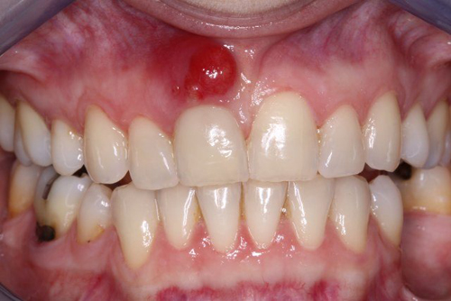
2.Áp xe nướu răng:
Áp xe nướu răng hiểu đơn giản là túi áp xe sẽ hình thành và phát triển ở khu vực giữa răng và nướu, không liên quan hay ảnh hưởng gì tới bên trong răng.

Áp xe nướu răng cũng bắt nguồn do vi khuẩn gây ra nhưng nguyên nhân sâu xa lại thường từ cách vệ sinh không tốt của bệnh nhân. Các mảng bám thức ăn thừa không được vệ sinh sạch sẽ lâu ngày sẽ hình thành mảng bám cao răng và tấn công, phá hủy các mô xung quanh, tạo điều kiện cho vi khuẩn xâm nhập vào khu vực nướu răng, sinh sống và hình thành túi áp xe.
Áp xe quanh chóp răng cũng tương tự như bệnh viêm nha chu là do vi khuẩn tấn công làm tách rời nướu răng và thân răng, sau đó trú ngụ và tiếp tục tấn công sâu xuống bên dưới. Do đó, rất dễ nhầm lẫn giữa hai loại này, vì vậy, bạn nên đi khám để được bác sĩ chuẩn đoán chính xác nhất, từ đó, có các chữ trị phù hợp.
Nếu còn bất cứ thắc mắc nào, hãy đến với nha khoa Thu Trang để được tư vấn miễn phí, giúp bạn giải đáp mọi thắc mắc. Ngoài ra, bạn cần đi khám răng định kì 6 tháng/1 lần để kịp thời phát hiện các bệnh về răng tránh biến chứng nguy hiểm cho cơ thể. Phòng khám có đội ngũ bác sĩ chuyên khoa giỏi với nhiều năm kinh nghiệm cùng hệ thống trang thiết bị hiện đại, xứng đáng là một phòng khám uy tín chất lượng tại Chương Mỹ.
