Tẩy trắng răng là phương pháp nha khoa giúp loại bỏ các sắc tố vàng, nâu, đen trên bề mặt răng. Ngoài ra phương pháp này còn giúp hàm răng trắng sáng đều màu. Vậy những trường hợp nào nên tẩy trắng răng và tẩy trắng răng ở dâu thì hiệu quả nhất?
Nha Khoa Thu Trang sẽ giải đáp thắc mắc này qua bài viết dưới đây.
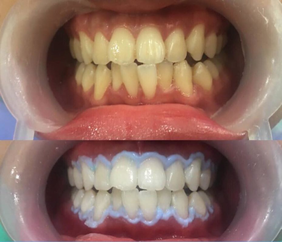
Trường hợp nào nên tẩy trắng răng?

1. Trường hợp nào nên tẩy trắng răng
Tẩy trắng răng tại nha khoa mang lại hiệu quả cao, nhanh chóng và đảm bảo an toàn cho những nhiều trường hợp:
- Hàm răng không đều màu
- Răng bị xỉn màu, ố vàng kém thẩm mỹ
- Răng bị nhiễm kháng sinh ở mức độ nhẹ.
- Răng nhiễm hóa chất fluor
- Người mong muốn hàm răng trắng đẹp hơn
2. Tẩy trắng răng bằng công nghệ hiện đại
Công nghệ hiện đại hoạt động dựa trên sự kết hợp đặc biệt giữa chất gel làm trắng với ánh sáng xanh dịu nhẹ. Nhanh chóng phá vỡ các liên kết hóa học bên trong răng, giúp loại bỏ hiệu quả các lớp ngà răng ố vàng, đem đến vẻ trắng sáng cho hàm răng.
Công nghệ tẩy trắng răng hiện đại chiếm trọn cảm tình của đông đảo khách hàng cũng như nhiều chuyên gia nha khoa bởi:
- Hiệu quả tẩy trắng răng nha khoa vượt trội, lên nhiều tông màu ngay sau khi thực hiện
- Mang đến hàm răng trắng sáng đều màu tự nhiên từ sâu bên trong.
- Thời gian thực hiện ngắn, kỹ thuật đơn giản, nhẹ nhàng
- Có tính an toàn cao, không gây tác dụng phụ đến sức khỏe hay cho răng nướu, không ảnh hưởng đến men răng
- Không có dấu hiệu của dị ứng hay biến chứng nào vì công nghệ có khả năng kiểm soát lượng nhiệt và ánh sáng phát ra.
- Màu sắc của răng được duy trì lâu dài. Khả năng duy trì độ trắng sáng của răng lâu dài từ 3 – 5 năm
- Với phản ứng tái khoáng men, sau khi tẩy trắng răng tại nha khoa bằng công nghệ này sẽ giúp cho răng chắc khỏe hơn.
3. Quy trình tẩy trắng an toàn và hiệu quả tại Nha Khoa Thu Trang

Tại Nha khoa Thu Trang , để đảm bảo an toàn và hiệu quả cho khách hàng, quy trình tẩy trắng răng luôn tuân thủ nghiêm ngặt những quy định của cơ quan y tế, kỹ thuật quốc tế, với các bước cơ bản như sau:
Bước 1: Thăm khám và chụp phim X Quang
Bước 2: Đo màu răng và vệ sinh răng miệng trước khi làm
Bước 3: Cách ly lợi và chống ê buốt
Bước 4: Thoa thuốc và chiếu ánh sáng để kích hoạt thuốc tẩy trắng
