Tư vấn miễn phí (24/7) 1900.636.099

Bệnh viêm nha chu là căn bệnh rất thường gặp ở nước ta, do thiếu kiến thức về chăm sóc răng miệng gây ra việc hơi thở hôi, chảy máu nướu và năng hơn là rụng răng. Nha khoa Thu Trang sẽ cũng cấp cho bạn kiến thức toàn diện về căn bệnh nha chu – căn bệnh nguy hiểm nhất đối với sức khỏe răng miệng trong bài viết này.

1. Bệnh nha chu là gì? Nguyên nhân gây bệnh

– Bệnh nha chu là bệnh của các mô xung quanh răng. Nha chu là tổ chức xung quanh răng. Khi các mô bình thường sẽ có chức năng nâng đỡ răng và bảo vệ răng khỏi sự xâm nhập của vi khuẩn.

– Bệnh nha chu do rất nhiều nguyên nhân gây ra:

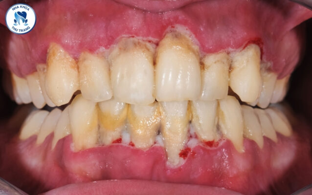
Viêm nha chu là gì?
Viêm nha chu là gì?
  • Do chăm sóc răng miệng kém, khiến hình thành nhiều mảng bám ở chân răng, mất men răng, khiến vi khuẩn xâm nhập.
  • Thay đổi nội tiết trong thời kì dậy thì, tiền mãn kinh, thời gian mang thai, chu kì kinh nguyệt khiến răng lợi yếu đi
  • Sử dụng thuốc. Một số loại thuốc gây giảm lưu lượng nước bọt, mà nước bọt lại có một số chứng năng bảo vệ răng miệng
  • Do gia đình có tiền sử mắc bênh răng miệng
  • Bản thân người bệnh mắc một số bênh ảnh hưởng đến răng miệng: tiểu đường, suy giảm miễn dịch
  • Hút thuốc lá: Thuốc lá có hại cho cơ thể và cả cho răng miệng, hút thuốc lá gây hôi miệng và tổn thương nướu, khó phục hồi.
  • Dinh dưỡng kém: Tình trạng ăn uống thiếu chất cũng có thể gây ra bệnh nha chu.

2. Biểu hiện của bệnh nha chu

  • Nướu sưng, chảy máu dù không có tác động nào
  • Lợi có màu đỏ hoặc tím nhạt
  • Đau khi chạm vào nướu
  • Hiện tượng nướu tụt vào khiến răng trông dài ra so với bình thường
  • Hôi miệng
  • Răng lung lay
  • Có mủ xuất hiện giữa răng và nướu răng
  • Chảy máu khi đánh răngXEM THÊM: Sau khi thực hiện niềng răng có đau không?

    3. Tác hại của bệnh nha chu:

    Bệnh nha chu gây ra tình trạng mất răng, hơi thở hôi, mất men răng . Gây ảnh hưởng nhiều đến chức năng răng, yếu tố thẩm mỹ và chất lượng cuộc sống của người bệnh

4.Cách phòng ngừa:

Có một số cách đơn giản để ngăn ngừa bệnh nha chu

  • Chăm sóc răng miệng đúng cách, dùng thêm chỉ nha khoa và nước súc miệng hằng ngày
Khám răng miệng định kỳ tại Nha Khoa Thu Trang
Khám răng miệng định kỳ tại Nha Khoa Thu Trang
  • Khám răng định kì
  • Có chế độ ăn uống lành mạnh và đầy đủ chất dinh dưỡng: bổ sung rau xanh, thực phẩm giàu canxi vào khẩu phần ăn…

5. Cách điều trị

– Tùy vào mức độ bệnh mà có các cách điều trị khác nhau. Nếu mức độ bệnh nhẹ, bác sĩ sẽ chỉ định bạn dùng một số thuốc đặc trị cho bệnh nha chu. Nếu bệnh nặng, bác sĩ sẽ tiến hành phẫu thuật , dùng các dụng cụ chuyên khoa để lấy các mảng bám ở răng, làm sạch răng

– Bệnh nha chu là bệnh nguy hiểm, diễn biến âm thầm nhưng gây ra những tác hại khôn lường đối với sức khỏe răng miệng. o đó, phòng khám nha khoa Thu Trang khuyên bạn nên đi khám răng định kì và chăm sóc răng miệng đúng cách để phòng ngừa các bệnh về răng miệng.

– Nếu bạn có dấu hiệu của bênh nha chu, đừng do dự hãy đến gặp bác sĩ nha khoa ngay để có liệu pháp điều trị phù hợp.

Bệnh nha chu và tác hại khó lường
Hãy đến với phòng khám nha khoa Thu Trang để có một hàm răng khỏe mạnh

3 thoughts on “Bệnh Nha Chu Và Tác Hại Khó Lường

  1. Pingback: Những rắc rối do răng khôn gây ra cho sức khỏe răng miệng - Phòng Khám Nha Khoa Thu Trang

  2. Pingback: Các loại bệnh thường "ghé thăm" vào mùa đông

  3. Pingback: Niềng răng có nhất thiết phải nhổ răng hay không? - Phòng Khám Nha Khoa Thu Trang

Trả lời

Email của bạn sẽ không được hiển thị công khai. Các trường bắt buộc được đánh dấu *