Tư vấn miễn phí (24/7) 1900.636.099

Răng mọc chồi là tình trạng không hề hiếm gặp ở người lớn và cả trẻ nhỏ dẫn đến nhiều vấn đề về răng miệng và sức khỏe. Trong bài viết này, Nha Khoa Thu Trang xin giới thiệu về những nguyên nhân gây răng mọc chồi và cách xử lý những chiếc răng này nhé.

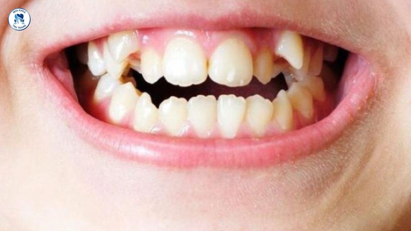
Răng mọc chồi là gì? Có ảnh hưởng như thế nào?

Răng mọc chồi là một dạng sai lệch khớp cắn khá phổ biến, thường được gọi là răng khấp khểnh. Các răng trên cung hàm không mọc thẳng hàng với nhau mà mọc lệch, thậm chí nhiều trường hợp có những chiếc răng mọc chệch ra khỏi cung hàm.

Răng mọc chồi ảnh hưởng nhiều đến ăn nhai và thẩm mỹ của người bệnh bởi những chiếc răng này thường xuất hiện ở nhóm răng cửa.

Răng mọc chồi ảnh hưởng nhiều đến chức năng ăn nhai và thẩm mỹ của người bệnh bởi những chiếc răng này thường xuất hiện ở nhóm răng cửa.

Những ảnh hưởng lớn nhất của răng mọc chồi có thể kể đến như sau:

Gây mất thẩm mỹ

Như đã đề cập ở trên, những chiếc răng mọc chồi không thẳng hàng, đặc biệt là những chiếc răng cửa ảnh hưởng rất nhiều đến thẩm mỹ. Hàm răng khấp khểnh, răng mọc chen chúc khiến nhiều người mất tự tin trong giao tiếp.

Không những thế, có trường hợp răng khấp khểnh nặng còn làm môi không khép lại ở trạng thái bình thường ảnh hưởng rất nhiều đến tương quan gương mặt.

Khó vệ sinh răng miệng

Những chiếc răng mọc khấp khểnh là vị trí thức ăn thường xuyên mắc lại rất khó vệ sinh. Thông thường, bàn chải khó có thể chạm tới những kẽ răng để lấy được các mảng bám hoặc thức ăn thừa.

Khi đó bạn cần dùng đến những dụng cụ làm sạch hiệu quả như chỉ nha khoa, tăm nước mới có thể làm sạch hoàn toàn được.

Dẫn đến một số bệnh lý răng miệng khác

Cũng từ nguyên nhân trên những người có răng mọc chồi dễ mắc các bệnh về răng miệng như: sâu răng, viêm lợi, hôi miệng.

Ngoài ra, so sự sai lệch trong tiếp xúc giữa các răng nên lâu dần khiến bề mặt răng bị bào mòn, ảnh hưởng đến men răng và làm răng nhạy cảm hơn. Điều này có thể thấy rõ khi bước vào tuổi trung niên, đồ ăn lạnh sẽ khiến bạn cảm thấy ê buốt và khó chịu.

Ảnh hưởng đến khớp cắn, chức năng ăn nhai

Răng mọc chồi dẫn đến sai lệch khớp cắn, lâu dần ảnh hưởng đến chức năng ăn nhai, tiêu hóa và có thể dẫn đến chứng đau khớp thái dương hàm.

Nguyên nhân khiến răng mọc chồi

Răng mọc chồi có nhiều nguyên nhân, với mỗi trường hợp lại có nguyên nhân khác nhau. Nhìn chung, tình trạng răng mọc chồi có thể do các nguyên nhân như sau:

Bẩm sinh

Giống như một vài vấn đề khác, răng mọc chồi cũng có thể được di truyền từ thế hệ trước. Nếu trong gia đình có cha mẹ hoặc người lớn đã từng có răng mọc chồi thì khả năng thế hệ con cháu cũng có người có răng mọc chồi cũng sẽ cao hơn.

Do các thói quen xấu

Những thói quen xấu khi còn nhỏ như mút tay, đẩy lưỡi, ngậm tí giả trong thời gian dài. Tưởng như vội hại nhưng thực ra có thể dẫn đến rất nhiều nguy cơ răng miệng. Trong đó, răng chìa và khấp khểnh răng là 2 tình trạng phổ biến nhất.

Do đó, khi thấy trẻ em có những thói quen kể trên, người lớn cần ngăn chặn sớm bằng các chấm dứt các thói này. Hiện nay, có nhiều loại dụng cụ có thể giúp con dần bỏ các thói quen xấu mà phụ huynh có thể tham khảo.

Do cung hàm phát triển không bình thường

Với những người có cung hàm nhỏ răng không đủ khoảng trống để răng mọc lên một cách bình thường nên khiến những chiếc mọc sau phải mọc chen lên răng khác hoặc mọc sai hướng.

Cách xử lý răng mọc chồi

Từ những phân tích ở trên, có thể thấy rằng răng mọc chồi có những ảnh hưởng nhất định đến sinh hoạt và sức khỏe của chúng ta. Dó đó, việc xử lý những chiếc răng mọc chồi không đúng “quy tắc” là việc làm cần thiết.

Để xử lý răng chồi nằm đúng trong cung hàm không ảnh hưởng đến các răng khác, chuẩn khớp cắn và đảm bảo tính thẩm mỹ thì niềng răng là biện pháp hiệu quả nhất.

Niềng răng là phương pháp sử dụng các khí cụ đặc biệt để nắn chỉnh răng về đúng vị trí trên cung hàm. Các khí cụ đó là: mắc cài, dây cung, minivis, bands hoặc khay niềng trong suốt.

Đối với tình trạng răng mọc chồi sẽ cần thời gian từ 1-2 năm hoặc có thể lâu hơn tùy tình trạng răng và phương pháp niềng. Đối với trẻ nhỏ thời gian niềng có thể ngắn hơn so với người lớn do xương vẫn đang trong quá trình phát triển nên còn mềm, răng dịch chuyển nhanh và hiệu quả hơn.

NHA KHOA THU TRANG 

Địa chỉ: 
Cơ sở 1: Trường Yên – Chương Mỹ – Hà Nội 

Cơ sở 2: Thạch Thán – Quốc Oai – Hà Nội 

Cơ sở 3: Ngã 4 Ninh Kiều – Chúc Sơn – Chương Mỹ – Hà Nội

Email: nhakhoathutrang080808@gmail.com 

Hotline: 1900 9448 – 0972 753 591 

Kết nối với fanpage: https://www.facebook.com/nhakhoathutrang123 

Trả lời

Email của bạn sẽ không được hiển thị công khai. Các trường bắt buộc được đánh dấu *